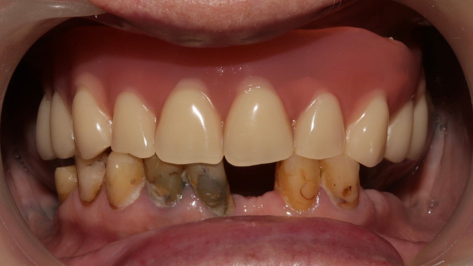
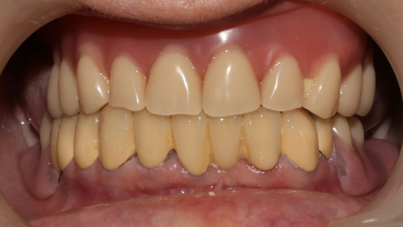
There are different ways of Replacement of missing tooth/teeth.
For Cost: Visit Our Prices / Services Page
They are the prosthetic devices that replaces missing teeth and are supported by the surrounding soft and hard tissues of the oral cavity.

It replaces missing teeth in a single/both the jaws.
Indications:
Contraindications:
2. Removable Partial Dentures:

It replaces single/few missing teeth. It provides function and aesthetic for patient who cannot have tooth for any reasons.
3. Cast Partial Denture CPD:

A cast partial denture is a removable dental prosthesis that replaces missing teeth with artificial teeth attached to a metal framework, typically made of a metal alloy like cobalt-chromium. It’s designed to fit over the gums and remaining natural teeth, using clasps or precision attachments for retention.
4. Implant Supported Dentures : A denture that is supported by and attached to implants .
Indications:
A fixed dental restoration that replaces one or more missing teeth by joining an artificial tooth to adjacent teeth or dental implants.



A titanium screw (like a tooth root ) that is surgically positioned into the jawbone beneath the gum line. A natural tooth colored crown is then placed over the Dental Implant. They are used to replace a single tooth or several teeth or to support partial or full dentures…
Read more about Dental Implant
